spacer

Content on this page requires a newer version of Adobe Flash Player.

Get Adobe Flash player

 
Specials
Fees & Financing
Skin Care Products
Meet the staff
Employment
Directions
spacer
   
Doctors Buckley

Richard Buckley, MD
Marina Buckley, MD

Pocono Medical Care
Advanced Dermatology
Surgery and Laser Center

303 W. Harford St,
Milford, PA 18337

______

Click here for details about our Internal Medicine

______

Hours:
Mon, Tues & Thurs 9AM - 6PM
Wed & Fri 9AM - 4PM
Sat 1-2 / month 9 AM-Noon
Evenings by request
______

Users should review the "terms of use" before using the Web site. This web site is for information only. Do not use the information herein to diagnose or treat your cosmetic surgery or medical problems. You should contact your physician with all medical questions and concerns.

© 2010 by Pocono Medical Care, Inc. and Richard E. Buckley, MD.

All rights reserved.

Serving NY, NJ, PA
Pike County
Upper Delaware Valley
Northeast Pennsylvania

 

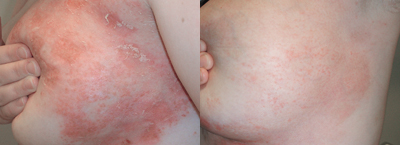
psoriasis

BEFORE & AFTER USING THE EX-308 EXCIMER LASER

psoriasis before-after psoriasis before-after

Before

After 12 Treatments

Before

After 12 Treatments

psoriasis before-after psoriasis before-after

Before

After 30 Treatments

Before

After 8 Treatments

psoriasis before-after psoriasis before-after

Before

After 5 Treatments

Before

After 15 Treatments

psoriasis before-after

VitiligoBefore

After 10 Treatments

After 20 Treatments

 

Return to main psoriasis page

 

 

HOME

Before & After

Cosmetic Surgery

Employment Opportunities

Fees & Financing

Media

Meet The Staff

Seminars - Events

Skin Care Products

Specials

Testimonials

 

PROCEDURES WE OFFER

 

BODY Sculpting

- Abdominoplasty - Tummy Tuck

- Brazilian Butt Lift

- Carboxy Therapy

- Fat Transfer - Fat Grafting

- Rejuvenation of the Hands with Fat Transfer

- Excess Fat and Bulge Reduction

- Laser Lipo

- Liposuction Treatments

- Liposculpture (Power)

- Smartlipo

- Prolipo

- Mesotherapy

- Thermage (tighten skin)

- UltraShape™ for Men & Women

- Zeltiq CoolSculpting

 

Breast

- Breast Enlargement

- Breast Implants

- Breast Lift

- Breast Augmentation

- Breast Reduction

- Male Breast Reduction

 

Cellulite treatment

- Velulite Non-Surgical Cellulite Reduction

- VelaSmooth® Cellulite Treatment

 

 

FACE

Acne Treatments
- Photodynamic Therapy (Kerastik)

- Chemical Peels: TCA, Glycolic, Parisian Peel

- Chin & Cheek Augmentation

- Computer Imaging / UV Photography

- Evolence™

- Eyelid Lift- Blepharoplasty

- EarLobe Repairs & Otoplasty

- Dermabrasion

- Facelift

- Forehead Lift

- FotoFacial RF Pro

- Fractional Laser Treatment

- Fraxel Laser Treatment

- GentleWave LED Treatment

- Intense Pulsed Light Treatment

- Laser Photo Rejuvenation
(Photo-Facial)

- Latisse - Eyelash Growth

- Loose Skin of Jowls & Neck

- Micro-Dermabrasion

- Neck Contouring, Neck Lift

- Rhinoplasty & Non-Surgical Rhinoplasty

- Thermage

- Thermacool

- Vitiligo / Hypo-Pigmented Areas

- Wrinkle Treatments

 

Fillers & Injectables

- BOTOX®

- Collagen

- Cosmoderm

- Cosmoplast

- Dysport

- Evolence

- Fat Rebalancing

- Hylaform

- Juvederm

- Perlane

- Prevelle

- Radiesse

- Restylane

- Sculptra

 

 

Hair

- Hair Removal

- Hair Restoration

- Hair Transplantation

 

Scars & Tattoos

- Hypertrophic Scars

- Scar Revision

- Subcision for Cellulite & Acne Scars

- Scarabrasion

- Tattoo removal

- Z-Plasty

 

Vein treatments

- Ambulatory Phlebectomy

- Sclerotherapy

- Spider Vein Injections

- Varicose Veins, Leg Veins

 

Medical Laser Procedures

- Acne

- Keloid Repair

- Laser Photodynamic Therapy with ALA for Acne

- Port Wine Stains

- Rosacea

- Vascular Malformations

 

Aesthetic Lasers

- Blu-U (light)

- ConBio MedLite C6

spacer- Q-switched 532nm Nd:YAG

spacer- Q-switched 585nm Nd:YAG

spacer- Q-switched 650nm Nd:YAG

spacer- Q-switched N64nm Nd:YAG

- CO2 Lumenis Laser

- Ellman (RF)

- Erbium Laser

- Fractional Laser

- Fraxel Repair / Restore

- GentleLase Hair Removal

- GentleYag Hair Removal

- Pharos Excimer Laser

- ProLipo Laser

- ProV (Sciton)

- SmoothBeam Lasers

- Thermage (RF)

- Versapulse Laser

spacer- Q-switched ND:YAG (Help-G)

spacer- Q-switched Alexandrite

spacer- Q-switched ND:YAG

spacer- Q-switched FD ND:YAG

- Vasculight

spacer- Vasculight Epi

spacer- Vasculight IPL

spacer- Vasculight DL/PL

spacer- Vasculight ND:YAG

- VBeam

 

 

CONDITIONS WE TREAT

- Acne

- Age Spots & Sun Damaged Skin

- Atopic Dermatitis

- Baldness & Excessive Hair

- Birthmarks & Port Wine Stains

- Broken Blood Vessels

- Cellulite

- Excess Fat, Bulges

- Loose Skin - Jowls & Neck

- Moles

- Pigmented Lesions

- Psoriais

- Rosacea

- Scars & Keloids

- Skin Cancer

- Volume Restoration

- Spider& Reticular Veins

- Stretch Marks

- Tattoos

- Varicose Veins, Leg Veins

- Vascular Malformations

- Vitiligo / Hypo-Pigmented Areas

- Warts & Cysts

- Wrinkles & Frown Lines

 

SITE MAP